Immagine 1 Atrofia ossea avanzata
Immagine 2 Rendering 3D dell’impianto AMSJI

Immagine 3 Componenti per impianto AMSJI

Immagine 4 I due impianti AMSJI sono posizionati sulla superficie ossea

Immagine 5 Impianti AMSJI fissati con viti da osteosintesi e protesi temporanea

Immagine 6 Sutura

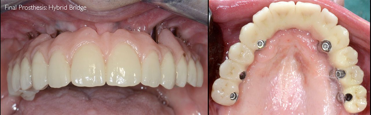
Immagine 7 Struttura protesica fissa

Immagine 8 TC a un anno
Immagine 9 A tre anni, visione delle connessioni protesiche
Immagine 10 A tre anni, visione della protesi fissa avvitata
Immagine 11 Controllo a 5y AMSJI




